Rotura de tendons glutis en trocanteritis crònica
Especialistes que han col·laborat en aquesta intervenció
Dr. José María Amorós Macau
Dr. Alexandre Lázaro Amorós
Després de la valoració clínica es detecta una manca de força persistent de la musculatura flexora del maluc D que s'accentua amb les activitats com la pujar i baixar escales, passejades per la muntanya i en aixecar-se d'una butaca.
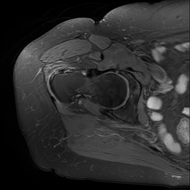
Davant la sospita de lesió dels tendons de la musculatura glutea es decideix demanar un RM del maluc que confirma l'arrencament d'aquests tendons a nivell de la seva inserció al trocanter.
L'absència de millora clínica i el diagnòstic revelat per la RM aconsellen la reparació dels tendons per mitjà de la seva sutura a l'os.
Aquest procediment es va realitzar per mitjà d'ancoratges ossis i va necessitar un temps de descàrrega del maluc durant 5 setmanes per mitjà de l'ús de dues crosses i un temps de fisioteràpia d'aproximadament 4 mesos fins a la recuperació funcional completa de la mobilitat i la força del maluc.
Davant la sospita de lesió dels tendons de la musculatura glutea es decideix demanar un RM del maluc que confirma l'arrencament d'aquests tendons a nivell de la seva inserció al trocanter.
L'absència de millora clínica i el diagnòstic revelat per la RM aconsellen la reparació dels tendons per mitjà de la seva sutura a l'os.
Aquest procediment es va realitzar per mitjà d'ancoratges ossis i va necessitar un temps de descàrrega del maluc durant 5 setmanes per mitjà de l'ús de dues crosses i un temps de fisioteràpia d'aproximadament 4 mesos fins a la recuperació funcional completa de la mobilitat i la força del maluc.
